
5 Facts About KIYOCLEAR, The Latest Clear Aligner Technology From Japan
With so many choices of clear aligners available, how do you know which is the right one for you? And while clear aligners have become more accessible in recent years, the caveat is that the cheaper options tend to be suitable only for those who only require mild corrections.
So what other options do you have if you have a moderate to complicated case, and a budget of less than $5,000?
Here’s where we’d suggest KIYOCLEAR, one of the largest lab manufacturers of clear aligners in Japan who has made it their mission to provide high-quality and affordable orthodontic treatment to anyone who requires it. It is now available in Singapore, so here are 5 things you need to know about its clear aligners treatment plan!
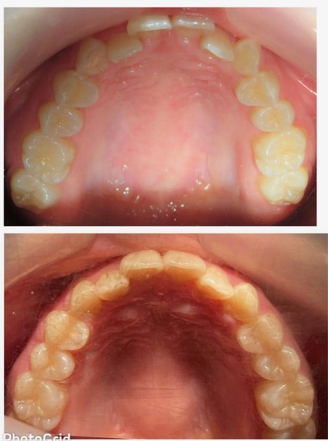
#1 It has worked for more than 100,000 patients in Japan
Photo from KIYOCLEAR
Launched in 2017, KIYOCLEAR has treated more than 100,000 patients in Japan alone. And since its clear aligners are made in Japan, you can rest assured that they adhere to the highest Japanese quality and standards.
At KIYOCLEAR, your treatment plan is drawn up by a highly-qualified team of dental technicians trained in the Japanese aligner and production process. It is then reviewed by a senior Japanese dental technician, followed by a local dentist partner, before being issued to you.
#2 It has a faster treatment time with no need for extractions
Photo from KIYOCLEAR
KIYOCLEAR aligners are able to treat a wide range of orthodontic concerns, from crowding to overbites, underbites, and diastema (gaps between teeth). Its treatment plans typically take about 5 to 15 months, which is rather fast especially compared to traditional braces which can take years.
And the best part? You won’t have to go through the pain of having your teeth extracted! One major feature that sets KIYOCLEAR apart from other clear aligner brands is that it does not require extractions, even for crowded teeth. Instead, it relies on a patented expander technology to create space for your new alignment. All you have to do is to wear expander plates, and you’re only required to put them on at night to minimise any discomfort. How groundbreaking is that?
#3 It is affordable
Photo from KIYOCLEAR
If budget is a concern for you, then KIYOCLEAR is the clear choice - especially if your teeth require more than just minor corrections. The total cost for KIYOCLEAR’s treatment range from $2,500 to $4,500, which makes it the more affordable option for those with more complicated cases.
#4 Your progress will be monitored closely for precise results
Photo from KIYOCLEAR
A lot of the newer clear aligner brands track their patient’s progress via an app, where patients are required to upload selfies for monitoring. If you have severe misalignment and are concerned about just how effective this monitoring system is, then KIYOCLEAR might be the better option for you.
With KIYOCLEAR, there’ll be regular scans with your dentist during the course of your treatment, which ensures that everything is going exactly on track. In the scenario where something is not moving according to plan, your dentist will then be able to quickly correct the course of the treatment and adjust the next few trays accordingly.
#5 KIYOCLEAR is the more eco-friendly option
Photo from KIYOCLEAR
While it is not uncommon for some clear aligner brands to print all of the trays you need in one go, KIYOCLEAR only prints what is necessary at that point in time. As we mentioned above, they follow a rescan protocol and should there be any adjustments to your treatment plan later on, at least you’re not wasting the plastic trays that you won’t be using. And in doing so, KIYOCLEAR helps to keep costs low for you as well!
Review from a KIYOCLEAR patient
Photo from KIYOCLEAR
“I chose KIYOCLEAR as it uses expanders to create space, instead of extracting or shaving my teeth. The treatment does not affect my lifestyle since the aligners are practically invisible and the expanders are only worn at night while I’m sleeping. I am almost at the final stages of the treatment and already see amazing changes!” - Issey T, 18.



